未来あるお子様が健康な人生を歩んでもらうために、お口の健全な成長を育む支援をしています。
就寝時に下の歯に装着する事により、お口を広くし顎と舌を子供達が自然に前方へ持っていくよう促すことで呼吸をしやすくします。
上顎骨が成長不足になり、歯並びが悪くなり、鼻腔や副鼻腔も狭くなり呼吸の質が悪くなる可能性があります。
上顎骨が自然に広がる事が期待できます。矯正装置ではありませんが、将来矯正する可能性を低くすることができます。
装置使用期間は半年から2年を予定しています。
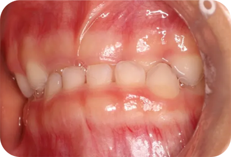
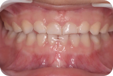
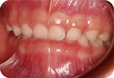
ムーシールドは受け口(反対咬合)を改善する装置です。(受け口とは下の前歯が上の前歯より前に出ている噛み合わせの事です)
主に就寝時に専用マウスピースをつける事で、舌や口腔周囲筋の状態を整え、反対咬合を改善します。
4歳から可能で、特に乳歯列期に治療を行うと、正常な顎骨の成長発育を促すことができるため、正しい永久歯の成長も期待できます。
咬み合わせが逆のまま成長すると、下顎の骨が過成長しやすい状態が続き、結果取り返しのつかないほど大きくなってしまう事もあるため、本人の負担軽減のためにも咬み合わせは早期に治しましょう。
毎晩装置をつけて寝るだけで、こんなに改善するなんて感激しています。子供にも優しく接してくださり、楽しく通院することができました。
装置を装着しなければ成果は出ませんし、装着しても変化が見られないこともあります。
初めは装置に対する不安もありましたが、少しずつ改善が見られ、先生方の丁寧な対応もあり、安心して通えました。
装置を装着しなければ成果は出ませんし、装着しても変化が見られないこともあります。
ご自身が虫歯や歯周病などで苦しんだ方は、同じ道をお子様には歩ませたくないと思うはず。 とは言え、いったいどうすれば、お子様を虫歯や歯周病などから遠ざけることができるのでしょうか。 私たちは、お子様の気持ちにもご家族の気持ちにも寄り添い、お子様に合った、できるだけ辛さを感じない治療を目指しています。
泣いて嫌がるお子様を無理やり治療することはしません。なるべく虫歯を作らないように、適切な予防プログラムを組み、 万が一虫歯ができた場合は、あまり削らずに一番いい方法で治したいと考えています。
そのためには、ご家庭での食事や生活面の見直しが必要になってきます。 親子で楽しく虫歯予防を一緒にしませんか?
初回のみ550円(税込)。その後の定期健診時は、無料で行います(小学生まで)。 唾液の中に、虫歯菌がどの位いるかということは、今後の虫歯予防の指標になります。
水と塩のみから生成され、薬品は一切使用していないので安心安全です。タンパク分解能力に優れ、歯垢を分解・洗浄します。

| 診療時間 | 月 | 火 | 水 | 木 | 金 | 土 | 日 |
| 9:00~12:30 | ○ | ○ | ○ | - | ○ | ○ | - |
|---|---|---|---|---|---|---|---|
| 14:00~17:30 | ○ | ○ | ○ | - | ○ | ○ | - |